EuroMAbNet: European Monoclonal Antibodies NetworkEuroMAbNet. European Monoclonal Antibodies Network homepage

Menu

Antibody Identity card

Antibody information [CD1d ]

SNOW606A

  • Clone name SNOW606A
  • Description Rat monoclonal
  • Antigen used RBL1-CD1d transfected cells and CD1d-HIS
  • Epitope Unknown
  • Isotype IgG2a
  • Confirmed species reactivity Human
  • Ab used CNIO purified antibody (4 mg/ml)
APPLICATIONRecommended concentrationStatusProtocol
Western blotting (WB)Neat tissue culture supernatantWorkingWestern Blotting (WB)
Immunocytochemistry (ICC)Neat tissue culture supernatantWorkingICC in frozen tissue and cytospin preparation
Immunohistochemistry (IHC-P)0.2 mg/mlWorkingBOND-MAX automated immunohistochemistry
Immunoflourescence (IF)1:20 tissue culture supernatantWorkingImmunofluorescence staining
Flow cytometry (FC)0.1 mg/mlWorkingFlow cytometry
IHC-P SpeciesNot tested

Ab ID Card application validation / characterisation

WB Validation
Over-expression/cross reactivity
CD1d  antibody WB Validation: Over-expression/cross reactivity
To confirm the lack of cross-reactivity with the other CD1 family members, Western blotting (WB) of the SNOW606A mAb was performed using cell extracts of transfected HEK cells expressing CD1a, CD1b, CD1c, CD1d or CD1e. A 50 kDa band was detected by WB only in the HEK-CD1d cell extract. Anti-vinculin was used as loading control.

Show image in a new window

Gene inactivation
CD1d  antibody WB Validation: Gene inactivation
The specificity of the SNOW606A mAb for the endogenous CD1d protein was confirmed by WB using cell extracts of Jurkat cell line before (JURKAT WT) and after CD1d gene inactivation (JURKAT KO CD1d) using CRISPR-Cas9 technology. Anti-vinculin was used as loading control.

Show image in a new window

WB Characterisation
Endogenous expression
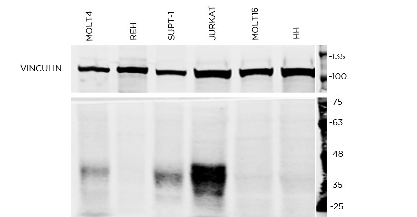
CD1d  antibody WB Characterisation: Endogenous expression
WB using the SNOW606A mAb showed 50 kDa bands of CD1d protein in the MOLT4, SUPT-1 and JURKAT T lymphoblastic leukemia cell lines. CD1d was not expressed in the REH (B lymphoblastic leukemia), MOLT16 (T lymphoblastic leukemia) or HH (T cell lymphoma) cell lines. Anti-vinculin was used as a loading control.

Show image in a new window

ICC / ICC-P Validation
Over-expression/cross reactivity
CD1d  antibody ICC Validation: Over-expression/cross reactivity
To confirm lack of cross-reactivity with the other CD1 family members, immunocytochemistry (ICC) with the SNOW606A mAb was performed on frozen cytospin preparations of MYC-tagged CD1a, CD1b and CD1d as well as FLAG-tagged CD1c and GFP-tagged CD1e proteins expressed in HEK293T transfectants. Staining was observed only in the CD1d transfectants. Labelling with the anti-MYC, anti-FLAG and anti-GFP confirmed the efficiency of transfection.

Show image in a new window

Gene inactivation
CD1d  antibody ICC Validation: Gene inactivation
The specificity of the SNOW606A mAb for the endogenous CD1d protein was confirmed by immunohistochemistry (IHC-P) in sections of formalin fixed paraffin embedded pellets of the JURKAT cell line before and after (CD1d KO JURKAT) gene inactivation using CRISPR-Cas9 technology. CD1d expression was observed in wild type JURKAT cells, while no staining was observed in the CD1d KO JURKAT cells.

Show image in a new window

IHC-P Characterisation
Endogenous expression
CD1d  antibody IHC-P Characterisation: Endogenous expression
Single immunoperoxidase labelling with the SNOW606A mAb demonstrated cytoplasmic and membrane staining of the CD1d protein in the mantle zone surrounding the germinal centre in the tonsil. In the spleen, CD1d was found to be expressed in B-cells within the mantle and marginal zones. In the thymus, strong staining was observed in the cortex, whereas fewer stained cells were observed in the medulla.

Show image in a new window

IF Characterisation
Endogenous expression
CD1d  antibody IF Characterisation: Endogenous expression
Double immunofluorescence staining of human paraffin embedded thymus by the SNOW606A mAb (red) and anti-CD8 (green).

Show image in a new window

FC Validation
Over-expression/cross reactivity
Not working
Gene inactivation
Not working
FC Characterisation
Endogenous expression
Not working
IHC-P Domestic species
Not tested
IHC-P Wild species
Not tested