EuroMAbNet: European Monoclonal Antibodies NetworkEuroMAbNet. European Monoclonal Antibodies Network homepage

Menu

Antibody Identity card

Antibody information [IL4I1 ]

BALI82E

  • Clone name BALI82E
  • Description Rat monoclonal
  • Antigen used Human IL4I1-His-Strep expressed in 293 cells
  • Epitope Unknown
  • Isotype IgG2a, K
  • Confirmed species reactivity Human
  • Ab used Tissue culture supernatant
APPLICATIONRecommended concentrationStatusProtocol
Western blotting (WB)Tissue culture supernatantWorkingWestern Blotting (WB)
Immunocytochemistry (ICC)Neat tissue culture supernatantWorkingICC in frozen tissue and cytospin preparation
Immunohistochemistry (IHC-P)1:10 Neat tissue culture supernatantWorkingBOND-MAX automated immunohistochemistry
Immunoflourescence (IF)1:2 Neat tissue culture supernatantWorkingImmunofluorescence staining
Flow cytometry (FC)40ul culture supernatant/tubeNot workingFlow cytometry
IHC-P SpeciesNot tested

Ab ID Card application validation / characterisation

WB Validation
Over-expression/cross reactivity
IL4I1  antibody WB Validation: Over-expression/cross reactivity
To confirm the specificity of the antibody, western blotting (WB) of the BALI82E mAb was performed using cell extracts of transfected HEK cells. A 70 kDa was detected only in the HEK-hIL4I1 cell extracts and not in HEK cells expressing a different protein (LMO2). Anti-GAPDH was used as loading control.

Show image in a new window

Gene inactivation
IL4I1  antibody WB Validation: Gene inactivation
WB of the BALI82E mAb using cell extracts of U266 before (U266) and after gene inactivation (U266 KO IL4I1) using Crispr-Cas9 technology. 70 kDa bands were observed only in the U266 cells. Anti vinculin was used as loading control.

Show image in a new window

WB Characterisation
Endogenous expression
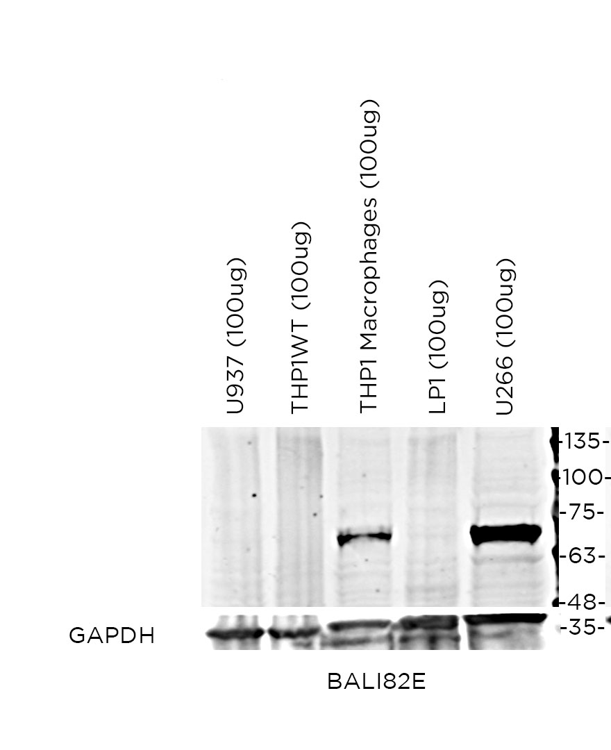
IL4I1  antibody WB Characterisation: Endogenous expression
WB using the BALI82E mAb showed 70 kDa bands of IL4I1 protein in extracts of the THP1 (monocytic leukaemia) cell line that had been activated to macrophages as well in the U266 (myeloma) cell line. No bands were observed in (THP1 Macrophages), U937 (myeloid), LP1 (myeloma) or unstimulated THP1 WT cell lines. Anti-GAPDH was used as a loading control.

Show image in a new window

ICC / ICC-P Validation
Over-expression/cross reactivity
IL4I1  antibody ICC Validation: Over-expression/cross reactivity
To confirm lack of cross-reactivity with the mouse IL4I1, immunocytochemistry (ICC) with the BALI82E mAb was performed on frozen cytospin preparations of HIS-tagged human IL4I1 or mouse IL4I1 expressed in HEK293T cells. Staining was observed only of the hIL4I1 transfected cells (HEK-hIL4I1-HIS) showing that BALI82mAb is specific for human IL4I1. Labelling with the anti-HIS confirmed the efficiency of transfection

Show image in a new window

Gene inactivation
IL4I1  antibody ICC Validation: Gene inactivation
The specificity of the BALI82E mAb for endogenous IL4I1 protein was confirmed by immunohistochemistry (IHC-P) on sections of formalin fixed paraffin embedded pellets of U266 cells before and after IL4I1 gene inactivation using CRISPR-Cas9 technology. Cytoplasmic expression was observed in the U266 cell line, while no staining was observed in gene inactivated U266 (U266 KO IL4I1).

Show image in a new window

IHC-P Characterisation
Endogenous expression
IL4I1  antibody IHC-P Characterisation: Endogenous expression
Single immunoperoxidase labelling with the BALI82E mAb showed cytoplasmic and membrane staining of the IL4I1 protein in germinal centre macrophages and mature dendritic cells within the interfollicular area of the tonsil. The IL4I1 protein was also observed (weaker staining) in B cells of the germinal centre, particularly in the dark zone. In the thymus, staining was detected in the Hassall's corpuscle and in macrophages. IL4I1 was also observed in macrophages in the spleen and Burkitt's lymphoma. Strong staining was also detected in striated muscle.

Show image in a new window

IF Characterisation
Endogenous expression
IL4I1  antibody IF Characterisation: Endogenous expression
Double immunofluorescence staining of human paraffin-embedded tonsil using BALI82E mAb (red) and anti-CD68 (green) antibodies reveals coexpression of CD68 and IL4I1 proteins in germinal centre macrophages. Nuclei are labelled with DAPI (blue).

Show image in a new window

FC Validation
Over-expression/cross reactivity
Not working
Gene inactivation
Not working
FC Characterisation
Endogenous expression
Not working
IHC-P Domestic species
Not tested
IHC-P Wild species
Not tested