EuroMAbNet: European Monoclonal Antibodies NetworkEuroMAbNet. European Monoclonal Antibodies Network homepage

Menu

Antibody Identity card

Antibody information [IL4I1 ]

EPR22070

  • Clone name EPR22070
  • Description Rabbit monoclonal
  • Antigen used Information not available
  • Epitope
  • Isotype IgG
  • Confirmed species reactivity Human
  • Ab used Anti-IL-4I1/LAO Abcam (Cat. ab222102) 0.567mg/ml
APPLICATIONRecommended concentrationStatusProtocol
Western blotting (WB)0.567 μg/mlWorkingWestern Blotting (WB)
Immunocytochemistry (ICC)0.567 μg/mlWorkingICC in frozen tissue and cytospin preparation
Immunohistochemistry (IHC-P)0.567 μg/mlWorkingBOND-MAX automated immunohistochemistry
Immunoflourescence (IF)1.134 μg/mlWorkingImmunofluorescence staining
Flow cytometry (FC)0.945 ug/mlWorkingFlow cytometry
IHC-P SpeciesNot tested

Ab ID Card application validation / characterisation

WB Validation
Over-expression/cross reactivity
IL4I1  antibody WB Validation: Over-expression/cross reactivity
Western blotting (WB) of the EPR22070 mAb was done using cell extracts of transfected HEK293T cells. The expected 70kDa band was observed in cells expressing human IL4I1 protein (HEK hIL4I1 HIS) but not in cells transfected to express the mouse IL4I1 protein (HEK mIL4I1 HIS), indicating specificity for the human protein. No band was seen in transfected cells expressing the unrelated MARCO protein (HEK MARCO). Anti-vinculin was used as a loading control.

Show image in a new window

Gene inactivation
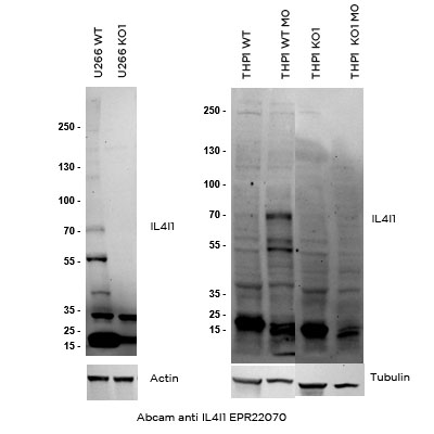
IL4I1  antibody WB Validation: Gene inactivation
WB of the EPR22070 mAb was done using cell extracts of U266 before (U266 WT) and after gene inactivation (U266 KO1) using Crispr-Cas9 technology. WB was also performed in THP1 cells (THP1 WT) activated THP1 (THP WT MO) before and after gene inactivation (THP1 KO1 and THP1 KO1 MO). Activation of THP1 cells was achieved via 48h treatment with PMA. As expected, a specific 70kDa band is observed in the wild-type U266 (U266 WT) cell line and in the activated wild-type THP1 cell line (THP1 WT MO). The latter result showing that activation to M0 macrophages is necessary for IL4I1 expression in the THP1 cell line. No bands are observed in wild type THP1 or in the gene inactivated U266 (U266 KOI) and THP1 (THP1 KO1 and THP1 KOI MO) lysates. Anti-actin and anti-tubulin were used as loading controls. Image kindly donated by Dr. Samanta Zanetti.

Show image in a new window

WB Characterisation
Endogenous expression
IL4I1  antibody WB Characterisation: Endogenous expression
WB with mAb EPR22070 was performed to show endogenous expression of IL4I1 protein in the THP1 (monocytic leukaemia) cell line. THP1 cells were activated to M0, M1 and M2 macrophages via treatment with PMA, IFN-gamma, IL4, IL13 and/or LPS. As expected, a specific 70kDa band was observed in the treated THP-1 cell line while no IL4I1 protein was detected in the untreated THP1 cells. Anti-tubulin was used as a loading control. Image kindly donated by Dr. Samanta Zanetti.

Show image in a new window

ICC / ICC-P Validation
Over-expression/cross reactivity
IL4I1  antibody ICC Validation: Over-expression/cross reactivity
To confirm possible cross-reactivity with the mouse Il4I1, immunocytochemistry (ICC) with the EPR22070 mAb was performed on frozen cytospin preparations of HEK293T cells transfected with HIS-tagged human IL4I1, mouse IL4I1 protein or mouse RAP1 proteins. EPR22070 stained only the HEK-hIL4I1-HIS transfectants confirming its specificity for human IL4I1. Labelling with the anti-HIS confirmed the efficiency of transfection

Show image in a new window

Gene inactivation
IL4I1  antibody ICC Validation: Gene inactivation
The specificity of the EPR22070 mAb for endogenous IL4I1 protein was confirmed by immunohistochemistry (IHC-P) on sections of formalin fixed paraffin embedded pellets of U266 cells before and after IL4I1 gene inactivation using CRISPR-Cas9 technology. Cytoplasmic (dot like) labelling was observed in the U266 cell line, while no staining was observed in the IL4I1 gene inactivated U266 cells.

Show image in a new window

IHC-P Characterisation
Endogenous expression
IL4I1  antibody IHC-P Characterisation: Endogenous expression
Single immunoperoxidase labelling with the EPR2207 mAb showed cytoplasmic labelling of germinal centre macrophages (dot like, tonsil 63X image) and mature dendritic cells within the interfollicular area of the tonsil. IL4I1 was also observed in macrophages in the spleen while staining was detected in the Hassall's corpuscle and macrophages in the thymus.

Show image in a new window

IF Characterisation
Endogenous expression
IL4I1  antibody IF Characterisation: Endogenous expression
Double immunofluorescence staining of human paraffin-embedded tonsil using EPR22070 mAb (red) and anti-CD68 (green) antibodies reveals coexpression of CD68 and IL4I1 proteins in germinal centre macrophages.

Show image in a new window

FC Validation
Over-expression/cross reactivity
IL4I1  antibody FC Validation: Over-expression/cross reactivity
Overexpression of IL4I1 protein was demonstrated using EPR22070 mAb in flow cytometry. HEK293T cells transfected with IL4I1 were used as a positive control (light blue) while HEK293T cell transfected with TRIB2 were used as a negative control (pink). Control experiments using only the secondary antibody show no staining for HEK293T-TRIB2 cells (dashed pink line) and HEK293T IL4I1 cells (dashed blue line).

Show image in a new window

Gene inactivation
IL4I1  antibody FC Validation: Gene inactivation
The specificity of the EPR22070 mAb for the endogenous IL4I1 protein was confirmed by flow cytometry using cell extracts of activated THP-1 cells to MO macrophages before (THP-1_WT_MO, light blue) and after gene inactivation (THP-1_KO IL4I1_MO, pink). Control experiments using only the secondary antibody show no staining for THP-1_KO IL4I1_MO cells (dashed pink line) and THP-1_WT_MO cells (dashed blue line).

Show image in a new window

FC Characterisation
Endogenous expression
IL4I1  antibody FC Characterisation: Endogenous expression
Flow cytometry using EPR22070 mAb shows endogenous IL4I1 protein in the U266 cells (light blue) but not in the JURKAT cell line (pink).Control experiments using only the secondary antibody show no staining for JURKAT cells (dashed pink line) and U266 cells (dashed blue line).

Show image in a new window

IHC-P Domestic species
Not tested
IHC-P Wild species
Not tested