EuroMAbNet: European Monoclonal Antibodies NetworkEuroMAbNet. European Monoclonal Antibodies Network homepage

Menu

Antibody Identity card

Antibody information [TOX2]

TOM924D

  • Clone name TOM924D
  • Description Rat monoclonal
  • Antigen used HIS-SUMO-hTOX2 tv2 (full length)-Strep-tag2
  • Epitope VVEAGK
  • Isotype IgG2a
  • Confirmed species reactivity Human, mouse
  • Ab used CNIO purified antibody (concentration 3.94 mg/ml)
APPLICATIONRecommended concentrationStatusProtocol
Western blotting (WB)7ug/mlWorkingOdyssey Western Blotting protocol (OdWB)
Immunocytochemistry (ICC)3.94 ug/mlWorkingICC in frozen tissue and cytospin preparation
Immunohistochemistry (IHC-P)0.98 ug/mlWorkingBOND-MAX automated immunohistochemistry
Immunoflourescence (IF)1.97 ug/mlWorkingImmunofluorescence staining
Flow cytometry (FC)0.985 ug/mlNot workingFlow cytometry
IHC-P Species3.94 μg/mlWorking

Ab ID Card application validation / characterisation

WB Validation
Over-expression/cross reactivity
TOX2 antibody WB Validation: Over-expression/cross reactivity
To confirm the lack of cross-reactivity of the TOM924D mAb with the other TOX family members, Western blotting (WB) was performed using cell extracts of MYC-FLAG tagged human TOX and TOX2 and GFP-tagged TOX3 and TOX4 transfected HEK cells. One band around 65 kDa was detected only in the HEK-TOX2 cell extracts. Anti-vinculin was used as loading control.

Show image in a new window

Gene inactivation
TOX2 antibody WB Validation: Gene inactivation
The specificity of the TOM924D mAb for the endogenous TOX2 protein was confirmed by WB using cell extracts of the MHH-TALL-2 cell line before and after TOX2 gene inactivation (MHH-TALL2 TOX2-KO) using CRISPR-Cas9 technology. Anti-vinculin was used as loading control.

Show image in a new window

WB Characterisation
Endogenous expression
TOX2 antibody WB Characterisation: Endogenous expression
WB using the TOM924D mAb showed a 63 kDa band of TOX2 protein in the NK92 natural killer (NK) cell line. TOX2 was not expressed in the YT (T/NK cell leukaemia) and U266 (myeloid leukaemia) cell lines. Anti-vinculin was used as a loading control.

Show image in a new window

ICC / ICC-P Validation
Over-expression/cross reactivity
TOX2 antibody ICC Validation: Over-expression/cross reactivity
To confirm the lack of cross-reactivity with the other TOX family members, immunocytochemistry (ICC) with the TOM924D mAb was performed on frozen cytospin preparations of MYC-tagged human TOX and TOX2 and GFP-tagged human TOX3 and TOX4 proteins expressed in transfected HEK293T cells. TOM924D mAb stained only the HEK-TOX2-MYC transfectants. Labelling with anti-MYC and anti-GFP confirmed the efficiency of transfection.

Show image in a new window

Gene inactivation
TOX2 antibody ICC Validation: Gene inactivation
The specificity of the TOM924D mAb for the endogenous TOX2 protein was confirmed by immunoperoxidase (IHC-P) staining of sections from formalin fixed paraffin embedded cell pellets of the MHH-TALL2 cell line before (MHH-TALL2 WT) and after (TOX2_KO MHH-TALL2) gene inactivation using CRISPR-Cas9 technology. TOX2 nuclear expression was observed in wild type MHH-TALL2 cells, while no staining was observed in the TOX2-KO MHH-TALL2 cell line.

Show image in a new window

IHC-P Characterisation
Endogenous expression
TOX2 antibody IHC-P Characterisation: Endogenous expression
Single IHC-P staining in tonsil sections using the TOM924D mAb reveals strong nuclear staining of TOX2 in scattered germinal centre cells, with weaker staining observed in the mantle zone and interfollicular area. In the spleen, TOX2 expression is noted in scattered cells within both the white and red pulp. Additionally, TOX2 is highly expressed in CD4+/CD8+ cells in the thymic cortex and in CD4+ cells in the medulla. No staining is observed in bone marrow.

Show image in a new window

IF Characterisation
Endogenous expression
TOX2 antibody IF Characterisation: Endogenous expression
Triple immunofluorescence on human thymus paraffin sections was performed using antibodies for TOX2 (TOM924D) (white), CD8 (green) and CD4 (red). Cell nuclei are stained with DAPI (blue).

Show image in a new window

FC Validation
Over-expression/cross reactivity
Not working
Gene inactivation
Not working
FC Characterisation
Endogenous expression
Not working
IHC-P Domestic species
Canary Serinus canaria
-
Cat Felis catus
-
Cow Bos taurus
+++
Dog Canis lupus familiaris
-
Goat Capra aegagrus
+++
Horse Equus ferus
++
Jacobin Pigeon Columba livia
-
Llama Llama glama
+++
Mouse Mus musculus
+++
Pig Sus scrofa domesticus
+++
Rat Rattus norvegicus
-
Sheep Ovis orientalis
+++
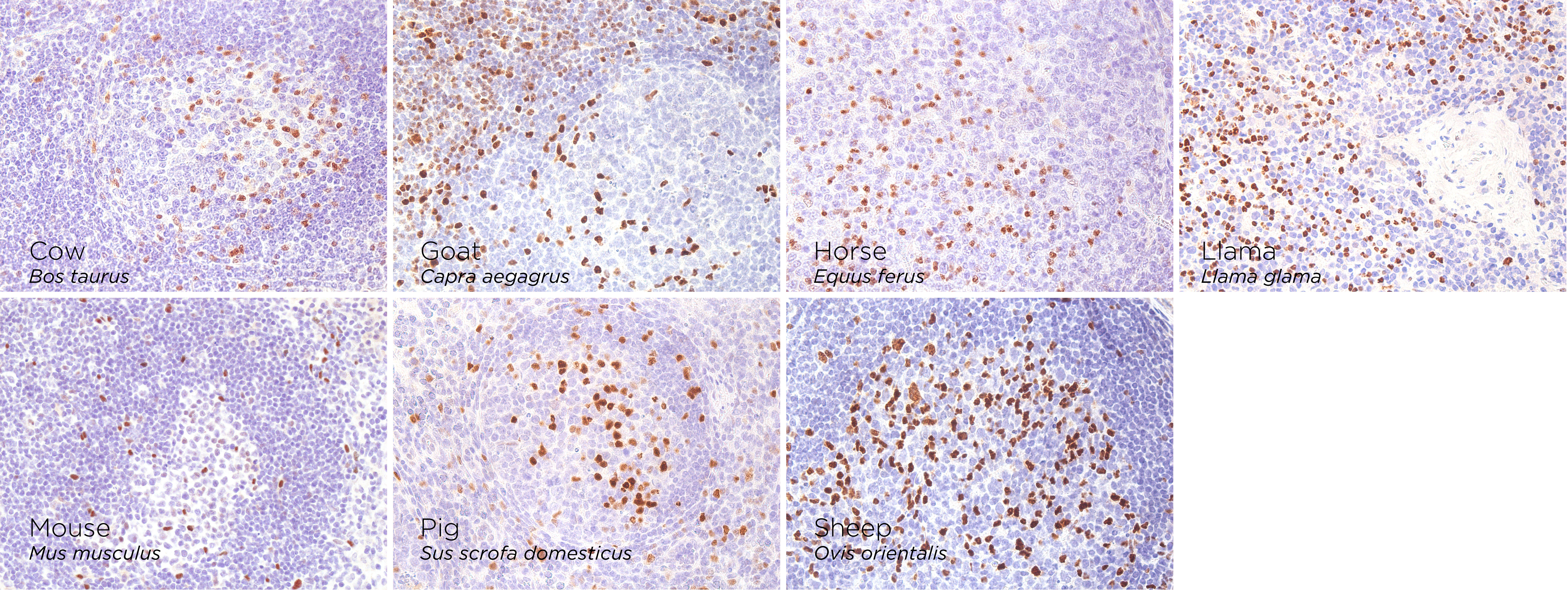
TOX2 antibody IHC-P Domestic species
IHC-P staining using Mab TOM924D showing nuclear labelling of scattered cells in germinal centres, mantle zones and interfollicular areas of formalin fixed spleen and lymph node sections from cow, goat, horse, llama, mouse, pig and sheep.

Show image in a new window

IHC-P Wild species
African sacred ibis Threskiornis aethiopicus
NV
Asian black bear Ursus thibetanus
-
Baboon Papio sp.
+++
Badger Meles meles
-
Bush Dog Speothos venaticus
Common brown lemur Eulemur fulvus mayottensis
++
Emu Dromaius novaehollandiae
NV
European bison Bison bonasus
+++
Mandrill Mandrillus sphinx
+++
Otter Pteronura brasiliensis
NV
Patagonian mara Dolichotis patagonum
NV
Penguin Spheniscus demersus
NV
Raccoon Procyon lotor
-
Red flamimgo Phoenicopterus ruber
NV
Reindeer Rangifer tarandus
-
Rhea Rhea americana
Sandbar shark Carcharhinus plumbeus
Sitatunga Tragelaphus spekii
-
South American sea lion Otaria byronia
Stork Ciconia ciconia
NV
Wild pig Sus scrofa
NV
Wolf Canis lupus
TOX2 antibody IHC-P Wild species
IHC-P staining using Mab TOM924D showing nuclear labelling of scattered cells in germinal centres, mantle zones and interfollicular areas of formalin fixed lymph node and spleen sections from baboon, common brown lemur, bison, European mandril, Muller gibbon and red river hog.

Show image in a new window