mAbs Against MOUSE Protein
CDK6
STATUS: |  |
---|
CONTACT INFORMATION: | Monoclonal Antibodies Unit, Centro Nacional de Investigaciones Oncológicas |
---|
STATUS: | Validated |
---|
TYPE: | mouse anti mouse |
---|
CLONE NAME: | 98D |
---|
PROTEIN: | Cyclin dependent kinase 6 |
---|
PROTEIN WEB: | http://www.ncbi.nlm.nih.gov/protein/AAD43504.1 |
---|
ANTIGEN USED: | His-mCDK6 recombinant protein (full length) |
---|
FUSION PARTNER: | myeloma p3-NS1/Ag4-1 (NS1) cell |
---|
ISOTYPE: | IgG1 |
---|
SPECIES REACTIVITY: | human and mouse |
---|
PREPARATION AND STORAGE: | Aliquot and store at 4C. Do not freeze |
---|
Applications
IHC Techniques
IHC Techniques |
Clone |
Dilution |
Antibody concentration |
Antigen retrieval method |
Visualization kit |
+/- control |
Protein localization |
Positivity in other species |
Protocol |
Frozen tissue and cytospins |
---|
Paraffin tissue |
---|
Recommended Result obtained is satisfactory. The reagent can be use in this application | 98D |
neat |
supernatant |
Discovery Xt Std RiboCC |
Ventana |
lymph node / |
|
mouse |
|
Immunofluorescence |
WB Techniques
WB Techniques |
Clone |
Dilution |
Antibody concentration |
+/- control |
Expected MW |
Observed Mw |
Positivity in other species |
Protocol |
Western Blotting |
---|
Recommended Result obtained is satisfactory. The reagent can be use in this application | 98D |
|
supernatant |
3T3 cell line / |
37kDa |
37kDa |
mouse |
Available |
Immunoprecipitation |
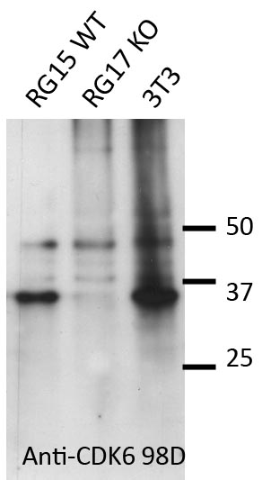
Enlarge image
- Western Blotting of CDK6 (98D) using different mouse cell and tissues extracts
- Lane 1 RG15WT (200ug)
Lane 2 RG17KO (200ug)
Lane 3 3T3 cell line (200ug)